기미

기미는 서서히 발생하여 보통 대칭적으로 생긴다.발생 시기는 대개 사춘기 이후이며, 남자에게도 생기지만 대부분 여자에게서 발생한다.
기미의 원인은 자외선, 경구피임약 복용, 임신, 스트레스, 화장품, 약제, 건강, 유전적 요인, 열 등이 있다.
여름에 진해지고 겨울에 흐려지며 광대뼈 부위나 얼굴의 가운데 혹은 턱선을 따라 잘 생긴다.
기미를 단기간에 완전히 없앨 수 있는 치료법은 아직 없다.
레이저 토닝은 1,2회 치료로 드라마틱한 효과를 기대할 수는 없지만 꾸준히 미백관리와 병행 치료하면 효과를 볼 수 있다.

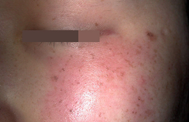
  • 기미 시술 전

  • 기미 시술 후

치료

레이저토닝, 피코토닝, 제네시스토닝, 알렉스토닝, 이온자임, 미백관리

  • 마취

    없음

  • 시술시간

    10분 내외, 미백치료 1시간 내외

  • 효과 및 시술간격

    1~2주 간격으로 10회 이상 시술

주근깨, 잡티

  • 주근깨

  • 잡티

경계가 분명하고 기미와 달리 각각의 병변이 분리되어 있으며 햇볕의 영향이 많이 미치는 부위에 발생한다.
유전요인이 있으며, 자외선의 영향으로 여름에 짙어지고 겨울에 옅어지는 경향이 있다.

  • 치료 전

  • IPL 직후

  • IPL 10일 후

치료

IPL, 엔디야그레이저, 포토나스타워커, 포토나QX-MAX, 피콜로, 젠틀맥스, 루비레이저, 라비앙레이저

  • 마취

    마취연고 또는 마취 없음

  • 시술시간

    20분 내외

  • 효과 및 시술간격

    1~2개월 간격으로 1~3회 이상

흑자, 검버섯, 점, 문신제거

흑자, 검버섯, 점, 문신제거

  • 단순흑자

  • 군집성흑자

  • 노인성흑자(검버섯)

치료

엔디야그레이저, 포토나스타워커, 포토나QX-MAX, 피콜로, 젠틀맥스, 루비 레이저, 어븀야그레이저, 탄산가스 레이저

  • 마취

    마취연고

  • 시술시간

    색소의 양에 따라 다름

  • 효과 및 시술간격

    2개월 간격으로 3회 이상

색소침착

상처가 생긴후 아물고 난 후에 거무스름하게 나타나는 경우이며, 대개 3~6개월 이내에 없어지는 경우가 많치만 2년 이상 지속되거나 완전히 없어지지 않는 경우도 있다.
피부타입에 따라 잘 생기는 사람이 있으며, 검은 피부의 경우에 잘 생긴다.

예방법
  • 최대한 햇볕에 노출되지 않도록 하고, 상처 부위를 가리거나 외출시 자외선차단제를 바른다.

  • 또한 상처가 회복될 수 있도록 드레싱을 철저히 해야 한다.

치료

미백관리, 레이저토닝, 미백연고

  • 마취

    없음

  • 시술시간

    10분 내외, 미백치료 1시간 내외

  • 효과 및 시술간격

    1~2주 간격으로 10회 이상 시술

후천성양측성오타모반 ABNOM

오타모반에 비해 늦은 나이에 생기며 색은 오타모반이 푸르스름한 반면 색에 가깝다.
양쪽 광대뼈 주변에 대칭적으로 생기며 기미로 오인하는 경우가 많다.
주근깨 정도의 작은 갈색반점이 흩어져 있는 모습이며 특징적으로 코 양옆으로 비슷한 색소가 보이는 경우가 흔하다. 20대에 발병하는 경우가 가장 많다.

치료

엔디야그레이저, 포토나스타워커, 포토나QX-MAX, 피콜로, 젠틀맥스, 루비 레이저

  • 마취

    마취연고

  • 시술시간

    15분 내외

  • 효과 및 시술간격

    2개월 간격으로 5회 이상

다크써클

피부염이나 눈가 메이크업 잔여물로 인한 색소침착, 눈밑 정맥 혈관이 늘어나서 검푸른 빛을 띄는 푸른정맥, 눈밑의 지방으로 인해 부위가 튀어나와 그늘져 보이는 현상

  • 색소침착
    피부염이 있을 경우 피부염치료, 레이저토닝과 미백치료를 병행
  • 푸른정맥
    혈관이 두드러진 경우 엔디야그레이저
  • 눈 밑 지방
    가볍게 눈밑의 지방이 튀어나온 경우 주름은 필러나 주름치료 레이저, 두둑한 눈밑의 지방의 경우 지방분해 레이저인 아큐스컬프 레이저
  • 노화현상으로 인한 50대 남성 눈밑 지방

  • 눈밑지방과 색소침착

치료

엔디야그레이저, 포토나스타워커, 포토나QX-MAX, 피콜로, 젠틀맥스, 루비 레이저

  • 마취

    연고마취

  • 시술시간

    15분 내외

  • 효과 및 시술간격

    2개월 간격

Top