오타모반 Ota’s nevus

눈 주변에 멍든 것과 유사한 푸른 반점이다.

증상 및 원인

어릴 때(태어나서 바로 또는 청소년기 이전) 발생하고 한쪽편(얼굴의 왼쪽이나 오른쪽)으로 생기며 마치 몽고반점으로 보인다.
몽고반점은 엉덩이 부위에 날때부터 있으며 태어날 때 가장 진하고 나이가 들면서 서서히 연해진다.
반면에 오타모반은 나이가 들면서 더 진해지는데 자외선과 성호르몬이 그 원인으로 생각되어지고 있다.
몽고반점은 생기는 부위가 다르고 저절로 없어지는데, 오타반점은 일생 없어지지 않는다.

치료

엔디야그, 피콜로, 포토나스타워커, 포토나QX-MAX, 루비레이저 8주 간격으로 반복 치료한다.

조기치료의 중요성

오타모반이 발생한 이후로는 자외선과 성호르몬의 영향을 받아 오타모반의 원인이 되는 멜라닌세포의 수가 증가하기 때문에 색이 짙어지고, 치료가 오래 걸리므로 조기 치료가 중요하다.
나이가 어릴수록 치료효과가 빨리 나타나고, 부작용(색소탈실)과 재발률이 성인에 비해 현저히 낮아 치료시 유리하다.

경과 및 주의사항

치료후 색소가 있던 자리에 원래 병변보다 약간 진한 딱지가 생기는데, 7~10일 후에 떨어지며 이후 붉은기가 1~2개월 지속될 수 있다.
8주 정도의 간격으로 레이저 시술을 하게 된다.
시술 당일부터 세안, 가벼운 샤워, 화장은 할 수 있으나 뜨거운 욕탕이나 마사지, 심한 운동은 딱지가 떨어질 때까지 피한다.
딱지가 너무 일찍 떨어지는 것은 좋지 않으므로 문지르지 않도록 하고 세안도 가볍게 한다.
자외선에 의해 시술후 착색이 빨리 회복되지 않거나 색소침착의 가능성이 있어 자외선차단제를 항상 발라야 한다.
과도한 자외선 노출이나 썬탠은 피한다.

공막
공막

눈의 흰자위에도 오타모반이 생길 수 있는데, 한 보고서에서는 전체 오타모반 환자중 17%는 공막에도 모반이 있었다

후천성양측성오타모반 ABNOM

오타모반에 비해 늦은 나이인 20대에 발병하는 경우가 많으며, 색은 오타모반이 푸르스름한 반면 갈색에 가깝다.
후천성양측성오타모반1, 2 주로 양쪽 광대뼈 주변이나 코 양옆에 대칭적으로 생기며 기미로 오인하는 경우가 많다.
치료는 오타모반과 같다.

이소성몽고반점/이토모반/청색모반

이소성몽고반점

정상적으로 몽고반점이 생기는 위치가 아닌 엉뚱한 곳에 발생한 몽고반점을 말한다.

증상 및 원인

이소성이란 원래 있어야할 자리가 아닌 곳에 생기는 것을 말한다. 이런 이소성몽고반점은 대부분 나이 들면서 옅어지거나 저절로 완전히 없어지기는 어려운 경우가 많다.
정상 부위와 멀수록 생후 1~2년이 지나도 전혀 변화가 없다면 저절로 없어질 가능성을 더 줄어든다.

이토모반
이토모반

오타모반과 유사한 반점이 어깨에 생기는 경우이다.

청색모반
청색모반

오타모반이나 몽고반점과 같이 진피 깊숙한 곳에서 멜라닌세포가 증식한 종양이다. 진한 청색이거나 청회색으로 주로 손등이나 발등에 잘 생기며 크기는 1cm 미만이다.

치료

오타모반과 치료방법은 같다.
신생아 시기에 가장 쉽게 치료되고, 나이가 어릴수록 레이저 치료에 대한 효과가 좋고, 나이가 들수록 치료가 어려워진다.

경과 및 주의사항

치료후 붉은 멍이 들고 붓지만 2주 이내에 회복된다.
그 외 경과 및 주의사항은 오타모반과 같다.

밀크커피색반점 / 반문상모반 / 베커모반

눈 주변에 멍든 것과 유사한 푸른 반점이다.

밀크커피색반점 Cafe au lait spot

정상적으로 몽고반점이 생기는 위치가 아닌 엉뚱한 곳에 발생한 몽고반점을 말한다.

증상 및 원인

표피에 비정상적인 멜라닌세포가 증식되어 발생되며, 크기와 모양은 매우 다양하다.

치료가 쉬운 경우

오타모반이 발생한 이후로는 자외선과 성호르몬의 영향을 받아 오타모반의 원인이 되는 멜라닌세포의 수가 증가하기 때문에
색이 짙어지고, 치료가 오래 걸리므로 조기 치료가 중요하다.
나이가 어릴수록 치료효과가 빨리 나타나고, 부작용(색소탈실)과 재발률이 성인에 비해 현저히 낮아 치료시 유리하다.

  • 작은 경우

  • 색이 균일하지 않은 경우

  • 작은 조각으로 나뉘어져 있는 경우

  • 경계가 들쑥날쑥하고 피부색에 비해 짙은 경우

치료가 어려운 경우
  • 색이 균일하고 뭉쳐져 있는 경우

반문상모반 Speckled Lentiginous nevus

반문이란 얼룩을 뜻하는데, 갈색반점 안에 좀더 진한 점들이 찍혀 있는 상태를 말한다.

베커모반 Becke’s nevus

갈색반점 안에서 털이 굵게 자라는 상태를 말한다.

치료

엔디야그, 피콜로, 젠틀맥스, 포토나스타워커, 포토나QX-MAX, 루비레이저 시술 방법에 따라 1~2주(저출력 또는 레이저토닝) 또는 8주(고출력) 간격으로 치료한다.
갈색반점은 치료 효과를 예측하기 어려우며, 쉽게 치료되는 경우도 있지만 소수에서는 오히려 진해지기도 하며, 잘 치료되었다가 몇 달 후에 다시 나오기도 한다.

경과 및 주의사항

오타모반과 경과 및 주의사항은 같다.
레이저토닝 적용할 경우 특별한 주의사항은 없으며, 딱지는 생기지 않으며 1~2주 간격 수십 회 반복 치료가 필요하다.

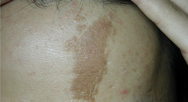
  • 밀크커피색반점 치료전

  • 치료 5일째

  • 치료 8주째

선천성멜라닌세포모반 Congenital melanocytic nevus

멜라닌 세포에서 유래된 모반세포로 이루어진 점 혹은 모반을 말하는 것이며,
점 중에서 태어날 때 이미 발견된 점

거대 멜라닌세포모반
거대 멜라닌세포모반 Giant congenital melanocytic nevus

직경이 20cm이며 대개는 거친 털이 같이 있는 경우가 많다.
출생 시에 나타나며 악성종양 특히 악성 흑색종이 발생할 수 있어 제거하는 것이 좋으며,
그렇치 않더라도 관찰이 필요하다. .

치료

외과적 절제술(단계적 절제 수술법 staged excision)

선천성멜라닌세포모반은 모반 세포의 깊이가 상당히 깊기 때문에 수술이 원칙이다.
하지만 한 번에 수술적으로 제거할 만큼의 크기보다 큰 경우가 대부분이다.
이때는 부분적으로 제거를 한 후에 6개월 내지 12개월 이상 지나서 피부의 유연성이 어느 정도 생긴 후에 2차, 3차 수술을 하여 단계적으로 점을 없애 나가게 된다.

4차례의 수술로 모반 대부분을 없앴으나 나머지 작은 부분은 레이저로 제거할 예정

2회의 수술로 콧등 부위의 모반을 제거

  • 수술전

  • 1차 수술후

  • 2차 수술후 1개월

2회의 수술로 귀앞 부위의 모반을 제거

  • 수술전

  • 1차 수술후

  • 2차 수술후 1개월

무릎 관절 아래 부위의 큰 선천성모반

  • 수술전

  • 1차 수술후

레이저 박피

주로 어븀야그레이저와 CO2레이저를 사용한다.
레이저 박피로 가장 좋은 효과를 볼 수 있는 때는 출생 후 4주 이내에 시술하는 경우이다.
아직 모반세포가 깊지 않기 때문에 아주 깊게 깎지 않더라도 점 세포를 상당히 제거 할 수 있다.
점차 점 세포가 깊어지지만 만 1세 까지는 꽤 좋은 결과를 보이는 경우가 많다.
성인의 경우에는 부위가 너무 크거나 해부학적으로 수술이 어려운 부위인 경우 레이저 박피를 시도하게 된다.
이때는 어느 정도 흉조직이 남을 수 있으며 깊은 모반 세포의 경우에는 시술후 재발할 수 있기 때문에 반복 시술이 필요할 수도 있다.

눈꺼풀 위아래 발생한 선천성모반

  • 시술전

  • 1차 시술후

  • 2차 시술후

신생아 다리의 선천성모반

  • 시술전

  • 1차 시술직후

  • 1차 시술후

  • 2차 시술후

색소모반 레이저 반복 시술

수술이나 레이저 박피 시술후 약간의 색소가 남아 있거나 다듬을 필요가 생길 경우 적용한다.

마취

국소 주사마취 또는 수면마취를 시행하며, 20분~1시간 소요된다.

표피모반, 피지선모반

표피모반 Epidermal nevus

선천적으로 표피 혹은 표피 부속기가 비정상적으로 증식을 하여 생기는 질환으로 크기는 매우 다양하다.

피지선모반 Nevus Sebaceous

대개 노란색을 띄고 있으며, 조직검사를 해보면 피지선이 많은 부분을 차지하고 있기 때문에 피지선모반이란 병변이 붙었다.

치료

외과적 절제술

메스로 제거하고 다시 봉합하는 것이 좋지만 대부분 크기가 커서 현실적으로 어려운 경우가 많다.

  • 수술전

  • 수술후

  • 수술전

  • 수술후

  • 수술전

  • 수술3개월 후

레이저박피

  • 목 부위의 표피모반 시술전

  • 수술후

  • 목과 어깨부위 표피모반 시술전

  • 목부분만 표피모반 시술 후

피지선모반

피지선모반의 경우 모반 자체가 상당히 깊고, 증식이 왕성하여 치료후 남아 있는 부분이
다시 자라나게 되므로 여러번 반복 치료가 필요하며, 어느 정도의 흉조직이 남을 수 밖에 없다.

  • 피지선모반 시술전

  • 시술 4개월후

마취

국소 주사마취 또는 수면마취를 시행하며, 20분~1시간 소요된다.

Top